Before & After photos

View some of our patients before and after photos

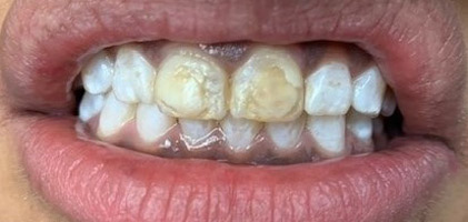
Explore real case studies from New Brighton and Fridley patients treated at Parkside Dental. See how Dr. Anna Weber and her team create lasting results through personalized care.

Porcelain Veneers

Porcelain Crowns

Gold Crowns

Teeth Whitening

Request Appointment Contact Now